点赞
奔流热点10小时前
每天用2次,22岁女主播肺里长满阴影!很多人不注意
近日,浙江杭州22岁的网络主播小江(化名),因为需要长时间直播带货,保持精致持久的妆容,故每天两次使用定妆喷雾。在坚持了近半年后,因此住进了医院。
22岁主播天天喷定妆喷雾
不幸患肺炎
据介绍,小江就诊时高烧超过40℃,血常规检查显示白细胞、中性粒细胞、CRP(C-反应蛋白)均明显升高,嗜酸性粒细胞也显著偏高。
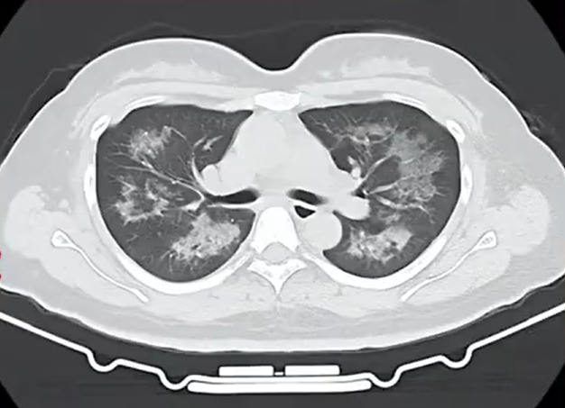
胸部CT进一步显示,她的双肺出现多发斑片状模糊影,被诊断为间质性肺炎。医生判断,病因很可能与她近期长期接触的某类物质相关。经过反复细致地询问病史,小江才说出自己长期、频繁使用定妆喷雾的习惯。

所幸,在接受对症治疗三天后,小江的血常规指标恢复正常,肺部炎症也快速吸收。
挥发性化学成分
可能诱发不良反应
医生提醒,定妆喷雾和夏季常用的防晒喷雾原理相似,产品中含有大量挥发性化学成分,这些物质被吸入后,可直接作用于肺部细胞,造成细胞损伤。 临床上,轻症患者可能只出现咳嗽、咳痰、喘息等症状;若易感人群短期内大量吸入这类致敏性物质,就可能诱发过敏性肺炎,严重时甚至发展为呼吸衰竭,必须高度重视。 不止定妆喷雾,杀虫剂、空气清新剂等各类化学喷雾制剂,使用时都可能让人体不慎吸入含挥发性有机物。 此外,本身患有慢性荨麻疹、过敏性鼻炎等过敏性基础病的人群,应尽量避免使用化学喷雾类产品。在使用过程中的皮肤黏膜接触、微粒吸入肺部,都可能引发严重过敏反应,甚至导致呼吸困难、危及生命。如果确实需要使用喷雾类产品,一定不要在狭小密闭、空气不流通的环境中使用。 来源丨浙江医院(版权归原作者所有,如有侵权请联系删除)
奔流新闻线索报料方式
爆料热线:13893646444(微信同号)
爆料邮箱:1902937948@qq.com
编辑:杨倩云
点赞
|
0